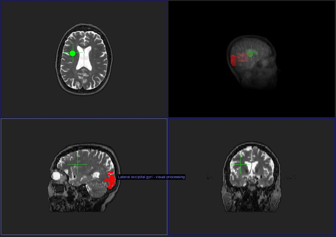
There is risk in directly treating tumors of the central nervous system through surgery. To guarantee total removal may require marginal invasion into surrounding tissue, resulting in possible neurological deficits, and subtotal surgery may result in a recurrent mass. The software system Anatom-e (Anatom-e Information Systems, Houston, TX) utilizes a database of nervous system tracts and structures to identify the regions surrounding the tumor, accesses their functions, and provides a list of potential signs as a result of surgery allowing for informed medical decisions and educated patient choices. The software uses a platform known as a deformable anatomic template (DAT), which is the nervous system and its structures overlaid onto an existing scan of normal status. Patient data is uploaded ranging from CT to MR body and brain scans, and aligned with this existing image set. The DAT then morphs to match the patient data, resulting in a neurological map of pathways and tracts that fit uniquely to the patient. Built-in software tools can be used to gather information on regions of interest, or analyze the proximity of structures to a particular site. The implications of Anatom-e range from pre-surgical planning and radiation therapy to intra-operative navigation. This project aims to utilize retrospective analysis to match real cases, surgeries and their outcomes to the predictions, insights, and information provided by Anatom-e, and the results from this study can aid in software development and direction.
