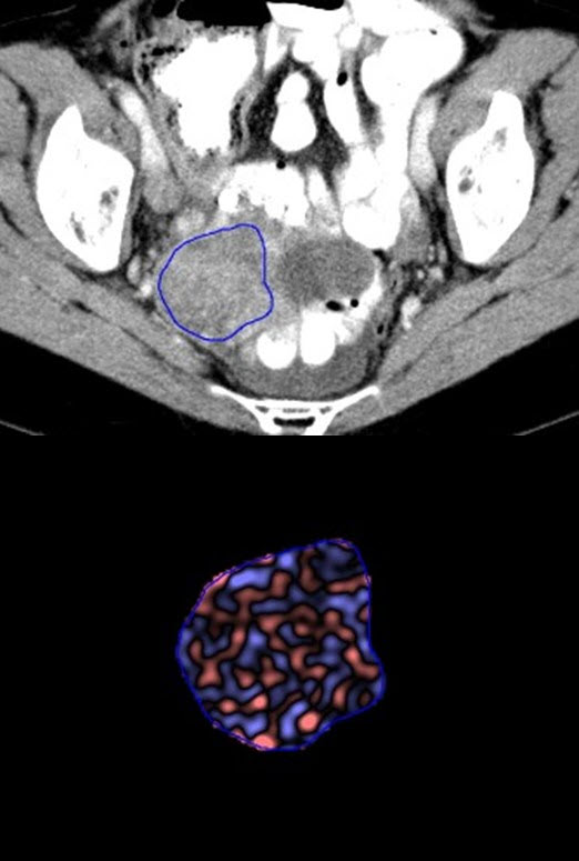
Incidental adnexal lesions are common, reported in up to 18% of postmenopausal women. While majority of incidental adnexal lesions are benign cysts, correct follow-up is important because some can be ovarian cancer. Ovarian cancer is the leading cause of death among gynecological cancers and majority of them are diagnosed at an advanced stage, resulting in a poor prognosis. This makes accurate characterization and management of incidental adnexal masses vital. At present, the management of incidental adnexal lesions is based on low-level evidence and depends on patient’s age, size of the lesion and imaging features. However, these lesions commonly remain indeterminate as difficult to characterize when they are first detected. Correct diagnosis either requires additional imaging follow-up with ultrasound or MRI, serial imaging follow-up or invasive procedures for pathologic correlation. Imaging has assumed a central role in clinical management of various neoplastic and non-neoplastic conditions. Every pixel in a medical image has data that is not evaluable by simple visual inspection, such as subtle variations in attenuation indicative of tumor heterogeneity. However, this information can be extracted by processing the images with specialized algorithms and softwares. The concept of texture analysis has been studied in tumors like lung, renal, colorectal, ovarian, esophageal and head and neck cancers with encouraging results regarding characterization and prognostication of cancers; however, the literature available is scant and heterogeneous. Texture analysis can potentially be used to characterize the incidental adnexal lesions and predict their outcome. This would help in optimal management of these lesions. The purpose of this study is to use CT texture analysis for characterization and prognostication of incidental adnexal lesions.
